Decyzja o tym, kiedy można wstawić implant po wyrwaniu zęba, jest kluczowa dla sukcesu całego procesu leczenia. Zazwyczaj zaleca się odczekanie pewnego czasu po ekstrakcji zęba, aby umożliwić organizmowi naturalne gojenie się tkanek. Czas ten może się różnić w zależności od wielu czynników, takich jak stan zdrowia pacjenta, rodzaj usuniętego zęba oraz technika przeprowadzonej ekstrakcji. W przypadku prostych ekstrakcji, lekarze często sugerują odczekanie od 2 do 4 miesięcy przed wszczepieniem implantu. Natomiast w przypadku bardziej skomplikowanych zabiegów, takich jak usunięcie zęba zatrzymanego lub zębów trzonowych, czas oczekiwania może być dłuższy i wynosić nawet do 6 miesięcy lub więcej. Ważne jest również, aby przed przystąpieniem do wszczepienia implantu przeprowadzić odpowiednie badania obrazowe, takie jak tomografia komputerowa, aby ocenić stan kości oraz zaplanować właściwe umiejscowienie implantu.
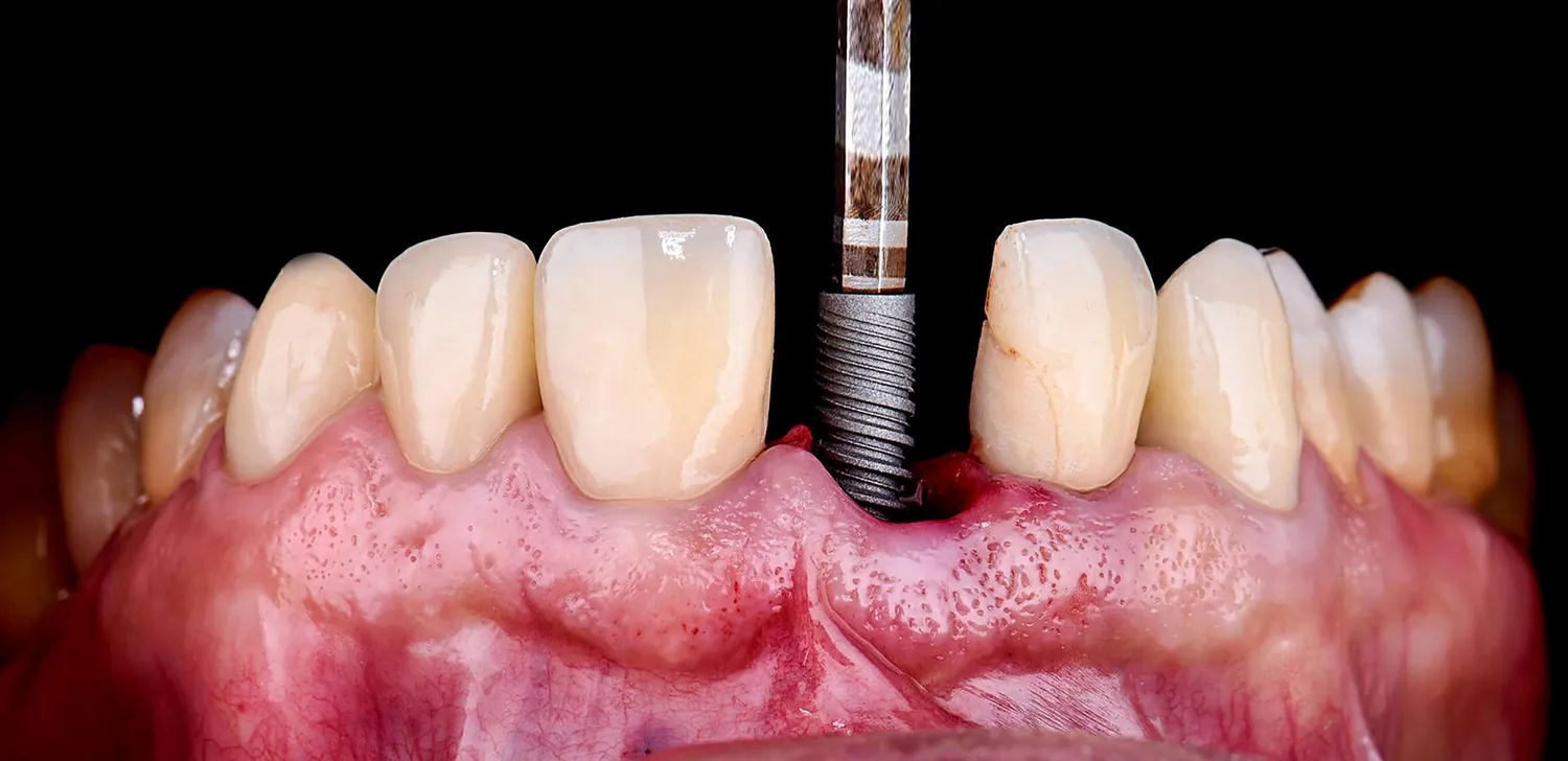
Czy można wstawić implant zaraz po wyrwaniu zęba?
Wielu pacjentów zastanawia się, czy możliwe jest wszczepienie implantu zaraz po wyrwaniu zęba. W niektórych przypadkach jest to jak najbardziej możliwe i nazywa się to natychmiastowym wszczepieniem implantu. Taka procedura ma swoje zalety, ponieważ pozwala na minimalizację liczby zabiegów chirurgicznych oraz skrócenie czasu leczenia. Jednakże nie każdy pacjent kwalifikuje się do tego typu rozwiązania. Kluczowe znaczenie ma ocena stanu kości oraz tkanek miękkich wokół miejsca ekstrakcji. Jeśli kość jest wystarczająco mocna i zdrowa, a także nie występują żadne infekcje ani inne komplikacje, lekarz może zdecydować o natychmiastowym wszczepieniu implantu. Warto jednak pamiętać, że taka decyzja powinna być podjęta przez doświadczonego specjalistę, który dokładnie oceni wszystkie czynniki ryzyka i korzyści związane z tym zabiegiem.
Jak długo trwa proces gojenia po wyrwaniu zęba?

Proces gojenia po wyrwaniu zęba jest kluczowym elementem przygotowania do wszczepienia implantu. Zazwyczaj trwa on od kilku tygodni do kilku miesięcy, w zależności od indywidualnych predyspozycji pacjenta oraz skomplikowania samego zabiegu ekstrakcji. Bezpośrednio po usunięciu zęba organizm rozpoczyna proces regeneracji tkanek, co obejmuje zarówno gojenie dziąsła, jak i odbudowę kości w miejscu ekstrakcji. W pierwszych dniach po zabiegu pacjenci mogą odczuwać ból oraz dyskomfort, dlatego ważne jest stosowanie się do zaleceń lekarza dotyczących pielęgnacji rany oraz przyjmowania leków przeciwbólowych. Po około dwóch tygodniach większość pacjentów zauważa znaczną poprawę i ustąpienie objawów bólowych. Jednak pełne zagojenie tkanek może potrwać znacznie dłużej. W przypadku trudniejszych ekstrakcji lub obecności infekcji czas gojenia może się wydłużyć.
Jakie są czynniki wpływające na czas oczekiwania na implant?
Czas oczekiwania na wszczepienie implantu po wyrwaniu zęba zależy od wielu czynników, które mogą wpływać na proces gojenia oraz ogólny stan zdrowia pacjenta. Jednym z najważniejszych aspektów jest jakość i ilość kości w miejscu ekstrakcji. Jeśli kość jest osłabiona lub jej ilość jest niewystarczająca, lekarz może zalecić dodatkowe zabiegi takie jak augmentacja kości przed przystąpieniem do wszczepienia implantu. Kolejnym czynnikiem jest wiek pacjenta oraz jego ogólny stan zdrowia; osoby starsze lub cierpiące na przewlekłe choroby mogą wymagać dłuższego czasu na regenerację tkanek. Również styl życia pacjenta ma znaczenie; palenie papierosów czy niewłaściwa dieta mogą negatywnie wpłynąć na proces gojenia i wydłużyć czas oczekiwania na implant. Dodatkowo ważne są również aspekty psychiczne; stres i niepokój mogą wpływać na zdolność organizmu do regeneracji.
Jakie są zalety i wady wszczepienia implantu po ekstrakcji?
Wszczepienie implantu po ekstrakcji zęba ma swoje zalety oraz wady, które warto rozważyć przed podjęciem decyzji o leczeniu. Jedną z głównych zalet jest możliwość przywrócenia funkcji żucia oraz estetyki uśmiechu w stosunkowo krótkim czasie. Implanty dentystyczne są trwałym rozwiązaniem, które może służyć przez wiele lat, a nawet całe życie, jeśli są odpowiednio pielęgnowane. Dodatkowo, wszczepienie implantu może pomóc w zapobieganiu zanikowi kości, który często występuje po utracie zęba. Dzięki temu zachowuje się naturalny kształt twarzy oraz struktura kości nie ulega osłabieniu. Z drugiej strony, istnieją również pewne wady związane z tym zabiegiem. Wszczepienie implantu wymaga przeprowadzenia chirurgicznego zabiegu, co wiąże się z ryzykiem powikłań, takich jak infekcje czy uszkodzenie sąsiednich zębów. Ponadto, nie każdy pacjent kwalifikuje się do tego typu leczenia; osoby z chorobami przyzębia, cukrzycą lub innymi schorzeniami mogą mieć ograniczone możliwości.
Czy są jakieś przeciwwskazania do wszczepienia implantu?
Przed przystąpieniem do wszczepienia implantu dentystycznego lekarz musi dokładnie ocenić stan zdrowia pacjenta oraz ewentualne przeciwwskazania do zabiegu. Istnieje kilka czynników, które mogą uniemożliwić przeprowadzenie tego rodzaju leczenia. Przede wszystkim, pacjenci cierpiący na choroby przyzębia powinni najpierw poddać się leczeniu tych schorzeń, ponieważ niewłaściwie leczone zapalenie dziąseł może prowadzić do niepowodzenia implantu. Osoby z przewlekłymi chorobami, takimi jak cukrzyca czy choroby serca, również mogą być narażone na większe ryzyko powikłań podczas zabiegu. Dodatkowo, palenie papierosów jest czynnikiem ryzyka, który może negatywnie wpływać na proces gojenia oraz zwiększać ryzyko infekcji. W przypadku pacjentów przyjmujących leki immunosupresyjne lub mających problemy z krzepliwością krwi konieczna jest szczegółowa analiza ich stanu zdrowia przed podjęciem decyzji o wszczepieniu implantu.
Jak wygląda proces przygotowania do wszczepienia implantu?
Proces przygotowania do wszczepienia implantu dentystycznego jest kluczowy dla sukcesu całego leczenia i obejmuje kilka istotnych kroków. Na początku pacjent powinien umówić się na konsultację ze stomatologiem specjalizującym się w implantologii. Podczas pierwszej wizyty lekarz przeprowadza szczegółowy wywiad medyczny oraz wykonuje badania obrazowe, takie jak zdjęcia rentgenowskie lub tomografia komputerowa, aby ocenić stan kości oraz tkanek miękkich w miejscu planowanego wszczepienia. Na podstawie tych informacji lekarz może zaplanować odpowiednią strategię leczenia oraz określić czas oczekiwania na implant. Kolejnym krokiem jest ewentualne przeprowadzenie dodatkowych zabiegów przygotowawczych, takich jak augmentacja kości czy leczenie chorób przyzębia. Po zakończeniu procesu gojenia tkanek lekarz przystępuje do wszczepienia implantu, co zazwyczaj odbywa się w znieczuleniu miejscowym lub ogólnym, w zależności od skomplikowania zabiegu oraz preferencji pacjenta.
Jak dbać o implant po jego wszczepieniu?
Prawidłowa pielęgnacja implantu dentystycznego po jego wszczepieniu jest kluczowa dla zapewnienia jego długotrwałego sukcesu i zdrowia jamy ustnej. Po zabiegu pacjent powinien ściśle przestrzegać zaleceń lekarza dotyczących higieny jamy ustnej oraz unikać pewnych pokarmów i napojów przez kilka dni po operacji. Ważne jest regularne szczotkowanie zębów oraz nitkowanie wokół implantu, aby zapobiec gromadzeniu się płytki nazębnej i bakterii. Pacjenci powinni również unikać palenia papierosów oraz nadmiernego spożycia alkoholu, ponieważ te czynniki mogą negatywnie wpłynąć na proces gojenia i zwiększyć ryzyko infekcji. Regularne wizyty kontrolne u stomatologa są niezbędne do monitorowania stanu implantu oraz tkanek wokół niego.
Jakie są koszty związane z wszczepieniem implantu?
Koszty związane z wszczepieniem implantu dentystycznego mogą znacznie różnić się w zależności od wielu czynników, takich jak lokalizacja gabinetu stomatologicznego, doświadczenie lekarza oraz skomplikowanie przypadku klinicznego. W Polsce ceny za jeden implant wahają się zazwyczaj od kilku tysięcy złotych do nawet kilkunastu tysięcy złotych za pełen proces leczenia, który obejmuje zarówno sam implant, jak i dodatkowe zabiegi przygotowawcze oraz koronę protetyczną. Dodatkowe koszty mogą wynikać z potrzeby przeprowadzenia augmentacji kości lub innych procedur chirurgicznych przed wszczepieniem implantu. Warto również pamiętać o kosztach związanych z późniejszymi wizytami kontrolnymi oraz ewentualnymi dodatkowymi zabiegami naprawczymi w przypadku komplikacji. Dla wielu pacjentów istotnym czynnikiem jest także możliwość rozłożenia płatności na raty lub korzystanie z programów finansowania oferowanych przez kliniki stomatologiczne.
Jak długo trwa cały proces od wyrwania zęba do wszczepienia implantu?




