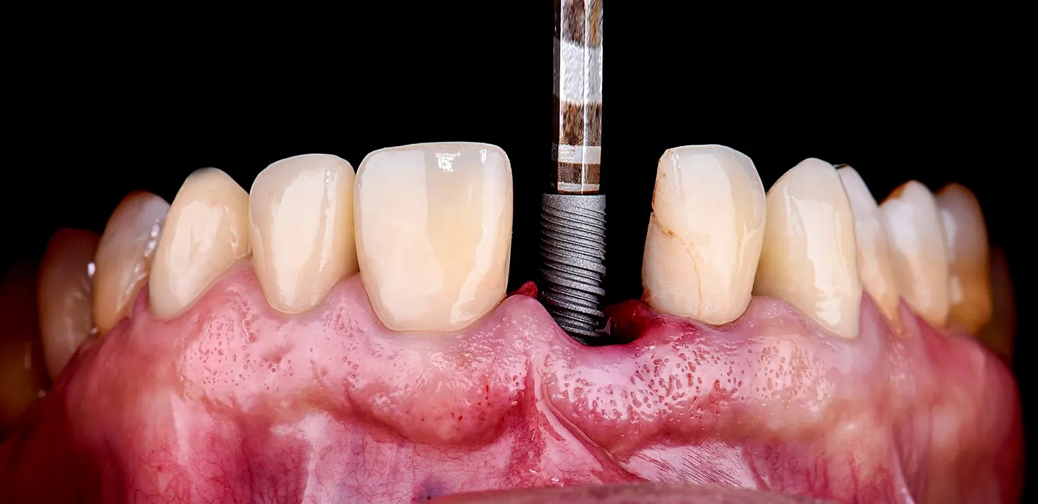
Wybór odpowiednich implantów to kluczowy element w procesie leczenia stomatologicznego, który ma na celu przywrócenie funkcji i estetyki zębów. Istnieje wiele rodzajów implantów, które różnią się materiałem, kształtem oraz techniką wszczepiania. Najpopularniejsze są implanty tytanowe, które charakteryzują się wysoką biokompatybilnością oraz trwałością. Tytan jest materiałem, który dobrze integruje się z kością, co sprawia, że implanty te mają wysoką skuteczność. Inne opcje to implanty ceramiczne, które są bardziej estetyczne i często wybierane przez pacjentów z alergiami na metale. Warto również zwrócić uwagę na nowoczesne technologie, takie jak implanty z powłokami bioaktywnymi, które wspomagają proces gojenia i integracji z kością.
Jakie są zalety różnych typów implantów?
Implanty stomatologiczne oferują szereg korzyści, które mogą znacząco poprawić jakość życia pacjentów. Przede wszystkim, implanty tytanowe są znane ze swojej wytrzymałości i długowieczności. Dzięki ich właściwościom biomechanicznym mogą one wytrzymać duże obciążenia podczas żucia. Z drugiej strony, implanty ceramiczne stają się coraz bardziej popularne ze względu na ich estetykę. Są one białe i doskonale imitują naturalne zęby, co czyni je idealnym rozwiązaniem dla osób dbających o wygląd. Ponadto, niektóre nowoczesne implanty posiadają powłoki bioaktywne, które przyspieszają proces gojenia oraz zwiększają stabilność w kości. Warto również zauważyć, że stosowanie implantów może pomóc w zapobieganiu utracie kości w miejscu brakujących zębów, co jest istotnym aspektem zdrowia jamy ustnej.
Jakie czynniki wpływają na wybór implantów?

Decyzja o wyborze odpowiednich implantów stomatologicznych powinna być oparta na kilku kluczowych czynnikach. Przede wszystkim ważna jest ocena stanu zdrowia pacjenta oraz struktury kostnej w miejscu planowanego wszczepienia implantu. Pacjenci z niewystarczającą ilością kości mogą wymagać dodatkowych zabiegów, takich jak augmentacja kości czy sinus lift, co może wpłynąć na wybór typu implantu. Kolejnym czynnikiem jest wiek pacjenta oraz jego styl życia. Osoby aktywne fizycznie mogą potrzebować bardziej wytrzymałych rozwiązań, podczas gdy osoby starsze mogą preferować opcje mniej inwazyjne. Również alergie na materiały metalowe mogą skłonić pacjentów do wyboru implantów ceramicznych. Nie bez znaczenia są także aspekty finansowe; różne rodzaje implantów mają różne ceny i dostępność w zależności od regionu oraz kliniki stomatologicznej.
Jakie są opinie pacjentów na temat różnych implantów?
Opinie pacjentów dotyczące różnych typów implantów stomatologicznych mogą być bardzo pomocne w podjęciu decyzji o ich wyborze. Wiele osób chwali sobie implanty tytanowe za ich trwałość oraz stabilność po wszczepieniu. Pacjenci często podkreślają komfort użytkowania oraz naturalny wygląd zębów po zakończeniu leczenia. Z kolei osoby korzystające z implantów ceramicznych zwracają uwagę na ich estetykę i brak widocznych metalowych elementów w jamie ustnej, co jest szczególnie ważne dla tych, którzy cenią sobie wygląd uśmiechu. Warto jednak pamiętać, że doświadczenia pacjentów mogą być różne w zależności od indywidualnych predyspozycji organizmu oraz umiejętności lekarza prowadzącego zabieg. Dlatego przed podjęciem decyzji warto poszukać rzetelnych informacji oraz opinii na temat konkretnego rodzaju implantu i kliniki stomatologicznej.
Jakie są najnowsze technologie w implantologii?
W ostatnich latach rozwój technologii w dziedzinie implantologii przyniósł wiele innowacji, które znacząco poprawiły efektywność zabiegów oraz komfort pacjentów. Jednym z najważniejszych osiągnięć jest wprowadzenie cyfrowych technologii planowania zabiegów. Dzięki skanowaniu 3D oraz oprogramowaniu do symulacji, lekarze mogą precyzyjnie zaplanować miejsce wszczepienia implantu, co minimalizuje ryzyko powikłań i zwiększa skuteczność leczenia. Kolejnym istotnym postępem są implanty z powłokami bioaktywnymi, które wspomagają proces gojenia i integracji z kością. Powłoki te mogą zawierać substancje stymulujące wzrost komórek kostnych, co przyspiesza proces osseointegracji. Warto również zwrócić uwagę na technologię laserową, która pozwala na precyzyjne cięcia i mniejsze uszkodzenia tkanek miękkich podczas zabiegu. Dzięki temu pacjenci doświadczają mniejszego bólu oraz szybszej rekonwalescencji. Nowoczesne implanty są także projektowane z myślą o minimalizacji ryzyka odrzutu przez organizm, co czyni je bardziej biokompatybilnymi.
Jakie są koszty związane z różnymi rodzajami implantów?
Koszty związane z wszczepieniem implantów stomatologicznych mogą się znacznie różnić w zależności od rodzaju wybranego implantu, lokalizacji kliniki oraz doświadczenia lekarza. Implanty tytanowe, będące standardem w branży, zazwyczaj mają niższą cenę niż ich ceramiczne odpowiedniki. Koszt jednego implantu tytanowego może wynosić od kilku do kilkunastu tysięcy złotych, w zależności od producenta i jakości materiału. Z kolei implanty ceramiczne, które cieszą się rosnącą popularnością ze względu na estetykę, mogą być droższe, a ich cena często przekracza koszt implantów tytanowych. Dodatkowo warto uwzględnić koszty związane z zabiegami przygotowawczymi, takimi jak augmentacja kości czy sinus lift, które mogą być konieczne w przypadku pacjentów z niewystarczającą ilością kości. Warto również pamiętać o kosztach protetyki, czyli koron lub mostów mocowanych na wszczepionych implantach. Często kliniki oferują różne pakiety usług, które mogą obejmować zarówno wszczepienie implantu, jak i wykonanie pracy protetycznej w atrakcyjnej cenie.
Jakie są przeciwwskazania do wszczepienia implantów?
Decyzja o wszczepieniu implantu stomatologicznego nie zawsze jest możliwa dla każdego pacjenta. Istnieje szereg przeciwwskazań zdrowotnych, które mogą uniemożliwić przeprowadzenie tego zabiegu. Przede wszystkim osoby cierpiące na choroby ogólnoustrojowe, takie jak cukrzyca czy choroby serca, powinny skonsultować się ze swoim lekarzem przed podjęciem decyzji o wszczepieniu implantu. Niekontrolowana cukrzyca może prowadzić do problemów z gojeniem się ran oraz zwiększonego ryzyka infekcji. Ponadto pacjenci przyjmujący leki immunosupresyjne lub mający problemy z krzepliwością krwi również mogą być narażeni na większe ryzyko powikłań po zabiegu. Inne przeciwwskazania to aktywne infekcje jamy ustnej oraz niewystarczająca ilość kości w miejscu planowanego wszczepienia implantu. W takich przypadkach konieczne może być przeprowadzenie dodatkowych zabiegów przygotowawczych przed właściwym wszczepieniem implantu. Warto również pamiętać o nawykach żywieniowych oraz stylu życia; palenie tytoniu może negatywnie wpływać na proces gojenia i zwiększać ryzyko niepowodzeń terapeutycznych.
Jak długo trwa proces gojenia po wszczepieniu implantów?
Proces gojenia po wszczepieniu implantów stomatologicznych jest kluczowym etapem całej procedury i może trwać różnie w zależności od wielu czynników. Zazwyczaj czas gojenia wynosi od kilku tygodni do kilku miesięcy. Po pierwsze, istotna jest jakość kości pacjenta; im lepsza struktura kostna, tym szybciej następuje integracja implantu z kością. W przypadku osób z niewystarczającą ilością kości czas gojenia może być wydłużony ze względu na konieczność przeprowadzenia dodatkowych zabiegów przygotowawczych. Po wszczepieniu implantu następuje proces osseointegracji, który polega na ścisłym połączeniu implantu z otaczającą go tkanką kostną. W tym czasie pacjent powinien unikać nadmiernego obciążania nowego implantu oraz stosować się do zaleceń lekarza dotyczących higieny jamy ustnej i diety. Po zakończeniu procesu gojenia możliwe jest przystąpienie do wykonania pracy protetycznej, czyli koron lub mostów mocowanych na wszczepionych implantach.
Jakie są najlepsze praktyki pielęgnacji implantów stomatologicznych?
Pielęgnacja implantów stomatologicznych jest kluczowym elementem utrzymania ich funkcjonalności i estetyki przez długi czas. Po pierwsze, niezwykle ważne jest przestrzeganie zasad higieny jamy ustnej; regularne szczotkowanie zębów co najmniej dwa razy dziennie oraz nitkowanie to podstawowe działania, które pomogą zapobiec gromadzeniu się płytki nazębnej wokół implantu. Używanie szczoteczek międzyzębowych lub irygatorów wodnych może być również korzystne dla osób posiadających implanty. Ponadto regularne wizyty kontrolne u stomatologa są niezbędne do monitorowania stanu zdrowia jamy ustnej oraz wykrywania ewentualnych problemów we wczesnym stadium. Pacjenci powinni także unikać palenia tytoniu i nadmiernego spożycia alkoholu, ponieważ te czynniki mogą negatywnie wpływać na zdrowie dziąseł oraz proces gojenia się po zabiegu. Dobrze zbilansowana dieta bogata w witaminy i minerały wspiera regenerację tkanek i zdrowie kości wokół implantu.
Jakie są alternatywy dla implantów stomatologicznych?
Dla pacjentów, którzy nie mogą lub nie chcą zdecydować się na wszczepienie implantów stomatologicznych istnieją różne alternatywy leczenia brakujących zębów. Jedną z najpopularniejszych opcji są mosty protetyczne, które polegają na osadzeniu sztucznych zębów na naturalnych filarach znajdujących się obok brakującego zęba. Mosty mogą być wykonane z różnych materiałów, takich jak ceramika czy metaloceramika, co pozwala dostosować je do indywidualnych potrzeb pacjenta pod względem estetyki i funkcji żucia. Innym rozwiązaniem są protezy ruchome lub stałe; protezy całkowite stosowane są w przypadku braku wszystkich zębów w łuku dentystycznym, natomiast protezy częściowe stosowane są przy braku tylko niektórych zębów.




