Implanty zębowe – co i jak?

Implanty zębowe to nowoczesne rozwiązanie stosowane w stomatologii, które pozwala na odbudowę brakujących zębów. Wykonane są z biokompatybilnych materiałów, najczęściej tytanu, co sprawia, że organizm dobrze je toleruje. Proces ich wszczepienia polega na umieszczeniu implantu w kości szczęki lub żuchwy, gdzie następnie następuje integracja z tkanką kostną. To trwały sposób na uzupełnienie braków w uzębieniu, który może znacząco poprawić komfort życia pacjenta. Warto zaznaczyć, że implanty zębowe nie tylko przywracają estetykę uśmiechu, ale również pełnią funkcję funkcjonalną, umożliwiając normalne żucie i mówienie. Przed podjęciem decyzji o ich wszczepieniu, pacjent powinien przejść szczegółową diagnostykę, która obejmuje zdjęcia rentgenowskie oraz ocenę stanu zdrowia jamy ustnej. Dzięki temu lekarz będzie mógł ocenić, czy pacjent jest odpowiednim kandydatem do zabiegu oraz jakie będą dalsze kroki w procesie leczenia.

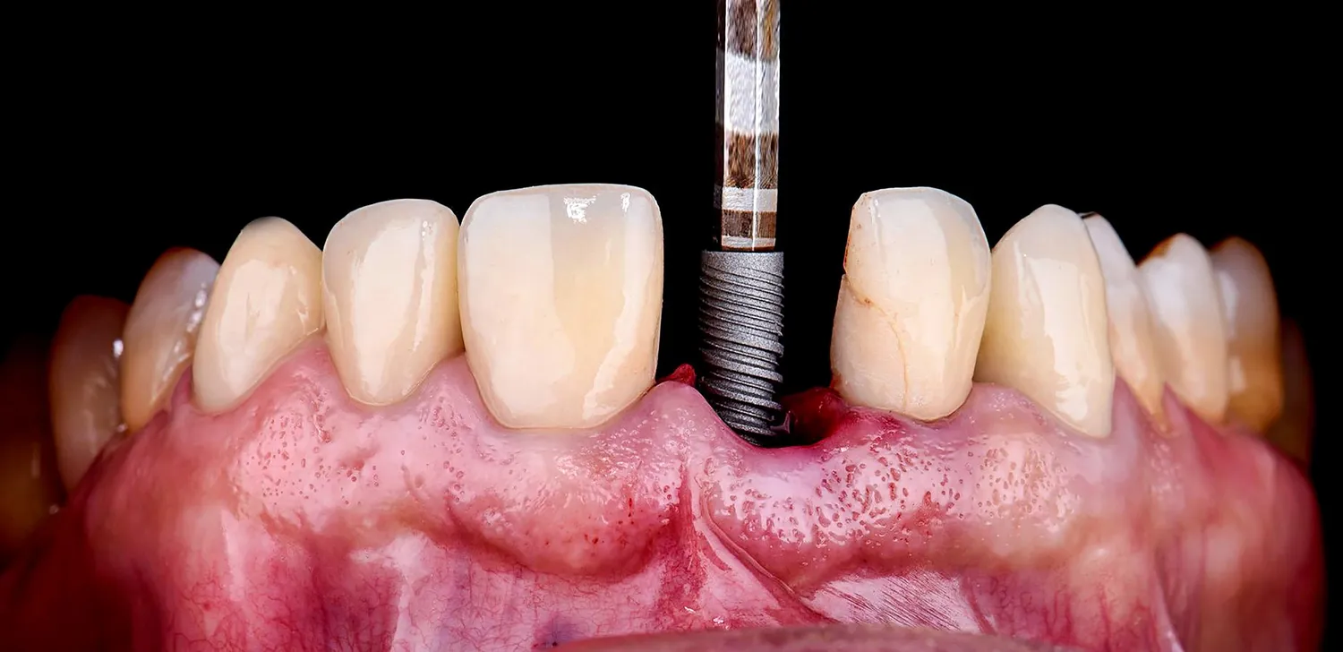
Jak wygląda proces wszczepiania implantów zębowych?

Implanty zębowe – co i jak?
Implanty zębowe – co i jak?

Proces wszczepiania implantów zębowych składa się z kilku etapów, które są kluczowe dla osiągnięcia sukcesu całej procedury. Pierwszym krokiem jest konsultacja ze stomatologiem, który oceni stan zdrowia pacjenta oraz wykona niezbędne badania diagnostyczne. Po tym etapie następuje planowanie zabiegu oraz omówienie z pacjentem wszystkich aspektów związanych z leczeniem. Właściwe wszczepienie implantu odbywa się zazwyczaj w znieczuleniu miejscowym, co minimalizuje dyskomfort pacjenta. Lekarz wykonuje niewielkie nacięcie w dziąśle i przygotowuje miejsce na implant poprzez wiercenie w kości. Po umieszczeniu implantu następuje czas gojenia, który trwa od kilku tygodni do kilku miesięcy, podczas którego implant integruje się z kością. W przypadku braku wystarczającej ilości tkanki kostnej może być konieczne przeprowadzenie dodatkowych zabiegów, takich jak augmentacja kości. Po zakończeniu procesu gojenia można przystąpić do wykonania korony protetycznej, która będzie osadzona na implancie i przywróci pełną funkcjonalność oraz estetykę uzębienia.

Jakie są zalety i wady stosowania implantów zębowych?

Implanty zębowe mają wiele zalet, które przyciągają pacjentów do tego typu leczenia. Przede wszystkim są one bardzo trwałe i mogą służyć przez wiele lat, a nawet całe życie przy odpowiedniej pielęgnacji. Dzięki nim można odbudować naturalny wygląd uśmiechu oraz poprawić komfort życia poprzez możliwość normalnego żucia pokarmów. Implanty nie wymagają szlifowania sąsiednich zębów, co jest istotne w porównaniu do tradycyjnych mostków protetycznych. Dodatkowo pomagają w zachowaniu struktury kości szczęki, co zapobiega jej zanikanie po utracie zęba. Niemniej jednak istnieją także pewne wady związane ze stosowaniem implantów. Koszt takiego leczenia może być znaczny i nie zawsze jest refundowany przez NFZ. Ponadto nie każdy pacjent jest odpowiednim kandydatem do zabiegu; osoby cierpiące na choroby przewlekłe lub mające problemy z dziąsłami mogą mieć trudności z uzyskaniem pozytywnego wyniku leczenia. Ważne jest również to, że proces gojenia po wszczepieniu implantu wymaga czasu i cierpliwości ze strony pacjenta.

Jak dbać o implanty zębowe po ich wszczepieniu?

Prawidłowa pielęgnacja implantów zębowych jest kluczowa dla ich długowieczności oraz zdrowia jamy ustnej po zabiegu wszczepienia. Po pierwsze, niezwykle ważne jest utrzymanie wysokiego poziomu higieny jamy ustnej poprzez regularne szczotkowanie zębów oraz nitkowanie przestrzeni międzyzębowych. Zaleca się używanie miękkiej szczoteczki do zębów oraz pasty zawierającej fluor, co pomoże w ochronie przed próchnicą i chorobami dziąseł. Pacjenci powinni także unikać twardych pokarmów oraz nadmiernego obciążania implantu przez pierwsze kilka tygodni po zabiegu gojenia. Regularne wizyty kontrolne u stomatologa są niezbędne do monitorowania stanu zdrowia implantów oraz otaczających tkanek. Lekarz może zalecić dodatkowe zabiegi pielęgnacyjne lub profilaktyczne w zależności od indywidualnych potrzeb pacjenta. Warto również zwrócić uwagę na ewentualne objawy zapalne lub dyskomfort związany z implantami i zgłaszać je lekarzowi bez zbędnej zwłoki.

Jakie są koszty związane z implantami zębowymi w Polsce?

Koszty związane z implantami zębowymi w Polsce mogą się znacznie różnić w zależności od wielu czynników, takich jak lokalizacja kliniki, doświadczenie stomatologa oraz rodzaj zastosowanych materiałów. Średni koszt jednego implantu zębowego wynosi zazwyczaj od kilku do kilkunastu tysięcy złotych. Warto jednak pamiętać, że cena ta często obejmuje nie tylko sam implant, ale również dodatkowe usługi, takie jak konsultacje, badania diagnostyczne oraz wykonanie korony protetycznej. W przypadku bardziej skomplikowanych przypadków, takich jak potrzeba przeprowadzenia zabiegów augmentacji kości czy sinus lift, całkowity koszt leczenia może wzrosnąć. Wiele klinik oferuje różne formy finansowania, co może ułatwić pacjentom podjęcie decyzji o leczeniu. Dodatkowo warto zwrócić uwagę na to, że niektóre ubezpieczenia zdrowotne mogą pokrywać część kosztów związanych z wszczepieniem implantów. Dlatego przed podjęciem decyzji o zabiegu warto dokładnie zapoznać się z ofertą różnych klinik oraz porównać ceny i zakres usług.

Jakie są przeciwwskazania do wszczepienia implantów zębowych?

Przed podjęciem decyzji o wszczepieniu implantów zębowych ważne jest, aby być świadomym potencjalnych przeciwwskazań do tego typu zabiegu. Istnieje kilka stanów zdrowotnych oraz czynników, które mogą uniemożliwić przeprowadzenie procedury lub zwiększyć ryzyko powikłań. Przede wszystkim osoby cierpiące na choroby przewlekłe, takie jak cukrzyca, osteoporoza czy choroby autoimmunologiczne, powinny być szczególnie ostrożne. Niekontrolowana cukrzyca może wpływać na proces gojenia oraz zwiększać ryzyko infekcji. Kolejnym istotnym czynnikiem jest stan zdrowia jamy ustnej; pacjenci z zaawansowanym zapaleniem dziąseł lub innymi schorzeniami przyzębia mogą nie być odpowiednimi kandydatami do zabiegu. Ponadto palenie tytoniu również negatywnie wpływa na proces gojenia i może prowadzić do niepowodzeń w leczeniu implantologicznym. Osoby przyjmujące leki immunosupresyjne lub mające problemy z krzepliwością krwi powinny również skonsultować się ze specjalistą przed podjęciem decyzji o wszczepieniu implantu.

Jakie są najnowsze technologie w dziedzinie implantologii?

Implantologia to dziedzina stomatologii, która stale się rozwija dzięki nowym technologiom i innowacjom. W ostatnich latach pojawiły się liczne osiągnięcia technologiczne, które znacznie poprawiają jakość oraz efektywność zabiegów wszczepiania implantów. Jednym z najważniejszych postępów jest zastosowanie technologii cyfrowych w planowaniu zabiegów. Dzięki skanowaniu 3D oraz programom komputerowym lekarze mogą precyzyjnie zaplanować miejsce wszczepienia implantu oraz dostosować jego rozmiar do indywidualnych potrzeb pacjenta. Ponadto technologia CAD/CAM umożliwia szybkie i dokładne wykonanie koron protetycznych na implancie, co skraca czas oczekiwania na finalny efekt leczenia. Innowacyjne materiały stosowane w produkcji implantów również przyczyniają się do ich większej trwałości i biokompatybilności. Na rynku dostępne są implanty pokryte specjalnymi powłokami, które wspierają proces integracji z kością oraz zmniejszają ryzyko powikłań. Zastosowanie laserów w chirurgii stomatologicznej pozwala na minimalizację inwazyjności zabiegów oraz szybsze gojenie ran pooperacyjnych.

Jakie są alternatywy dla implantów zębowych?

Dla osób, które nie mogą lub nie chcą zdecydować się na wszczepienie implantów zębowych, istnieje kilka alternatywnych rozwiązań protetycznych. Jednym z najpopularniejszych sposobów uzupełnienia brakujących zębów są mosty protetyczne. Mosty składają się z dwóch koron osadzonych na zdrowych zębach po obu stronach luki oraz sztucznego zęba umieszczonego pomiędzy nimi. Choć mosty są tańszą opcją niż implanty, wymagają szlifowania sąsiednich zębów, co może osłabić ich strukturę. Inną możliwością są protezy ruchome, które można łatwo wyjmować i zakładać według potrzeb pacjenta. Protezy mogą być całkowite lub częściowe i są stosunkowo tanim rozwiązaniem dla osób borykających się z utratą uzębienia. Należy jednak pamiętać, że protezy mogą powodować dyskomfort i wymagają regularnej konserwacji oraz wymiany w miarę upływu czasu. Dla osób poszukujących mniej inwazyjnych metod odbudowy uzębienia dostępne są także licówki czy korony ceramiczne, które poprawiają estetykę uśmiechu bez konieczności wszczepiania implantu.

Jakie pytania warto zadać lekarzowi przed zabiegiem?

Decyzja o wszczepieniu implantów zębowych jest istotnym krokiem w życiu każdego pacjenta i warto dobrze przygotować się do wizyty u stomatologa przed podjęciem ostatecznej decyzji. Istnieje wiele pytań, które warto zadać lekarzowi podczas konsultacji w celu uzyskania pełnej informacji na temat planowanego zabiegu oraz jego konsekwencji. Po pierwsze, należy zapytać o doświadczenie lekarza w zakresie implantologii oraz liczbę przeprowadzonych zabiegów tego typu. Ważne jest także dowiedzenie się o rodzajach używanych materiałów oraz technologii stosowanych podczas zabiegu; pacjent powinien mieć pewność co do jakości produktów wykorzystywanych w leczeniu. Kolejnym istotnym pytaniem jest czas trwania całego procesu leczenia oraz etapy gojenia po wszczepieniu implantu; warto wiedzieć, czego można się spodziewać na każdym etapie terapii. Pacjent powinien również dowiedzieć się o ewentualnych ryzykach i powikłaniach związanych z zabiegiem oraz jak wygląda rehabilitacja pooperacyjna.

Jak wygląda życie po wszczepieniu implantów zębowych?

Życie po wszczepieniu implantów zębowych może znacząco różnić się od życia przed zabiegiem, a wiele osób zauważa poprawę jakości życia już po zakończeniu procesu gojenia i rehabilitacji protetycznej. Pacjenci często chwalą sobie komfort noszenia implantów; nie muszą obawiać się o wypadające protezy ani ograniczać swojej diety ze względu na brakujący ząb. Implanty działają jak naturalne korzenie zębowe, co pozwala na swobodne żucie pokarmu bez obaw o dyskomfort czy ból. Oprócz funkcjonalności wiele osób zauważa znaczną poprawę estetyki swojego uśmiechu; pewność siebie wzrasta wraz ze zmianą wyglądu uzębienia. Ważnym aspektem życia po wszczepieniu implantu jest jednak kontynuacja dbałości o higienę jamy ustnej; regularne szczotkowanie i nitkowanie są kluczowe dla utrzymania zdrowia zarówno implantu, jak i otaczających tkanek miękkich. Regularne wizyty kontrolne u stomatologa pozwalają na monitorowanie stanu zdrowia jamy ustnej i ewentualne wykrycie problemów we wczesnym stadium.

Back To Top