Utrata zębów może znacząco wpłynąć na jakość życia, powodując nie tylko problemy estetyczne, ale także trudności w jedzeniu, mówieniu, a nawet obniżając poczucie własnej wartości. Na szczęście współczesna stomatologia oferuje innowacyjne i skuteczne rozwiązania, wśród których prym wiodą implanty zębów. Warszawa, jako dynamicznie rozwijające się centrum medyczne, oferuje szeroki wachlarz usług w tym zakresie, pozwalając pacjentom odzyskać pełnię funkcji i piękny uśmiech.
Decyzja o wszczepieniu implantu to inwestycja w zdrowie i komfort na długie lata. Taki zabieg pozwala na odbudowę pojedynczych zębów, mostów czy nawet pełnych łuków zębowych, przywracając naturalny wygląd i funkcjonalność uzębienia. Wiele klinik w stolicy specjalizuje się w implantologii, stosując najnowocześniejsze technologie i materiały, aby zapewnić pacjentom bezpieczeństwo, skuteczność i satysfakcję z efektów leczenia.
Wybór odpowiedniej kliniki i doświadczonego specjalisty to kluczowy etap leczenia implantologicznego. Warszawa oferuje bogaty wybór gabinetów, które zatrudniają wykwalifikowanych chirurgów i protetyków, posiadających wieloletnie doświadczenie w leczeniu implantologicznym. Przed podjęciem decyzji warto zapoznać się z opiniami pacjentów, zakresem oferowanych usług oraz technologiami wykorzystywanymi podczas zabiegów. Kompleksowe podejście do pacjenta, od szczegółowej diagnostyki po indywidualnie dobrany plan leczenia, gwarantuje osiągnięcie optymalnych rezultatów.
Jak wybrać najlepszą klinikę implantologiczną w Warszawie
Wybór odpowiedniej kliniki oferującej implanty zębów w Warszawie to proces wymagający uwagi i analizy. Rynek medyczny jest konkurencyjny, co z jednej strony stwarza wiele możliwości, z drugiej jednak może utrudniać podjęcie ostatecznej decyzji. Kluczowe jest znalezienie miejsca, które gwarantuje nie tylko wysokiej jakości usługi, ale także indywidualne podejście do każdego pacjenta i stosowanie nowoczesnych, sprawdzonych metod leczenia.
Pierwszym krokiem powinna być weryfikacja kwalifikacji i doświadczenia zespołu medycznego. Warto zwrócić uwagę na specjalizacje lekarzy, ich dorobek naukowy, udział w konferencjach branżowych oraz lata praktyki w dziedzinie implantologii. Dobre kliniki często chętnie dzielą się informacjami o swoich specjalistach, przedstawiając ich sylwetki i osiągnięcia. Recenzje i opinie innych pacjentów mogą być cennym źródłem informacji, choć należy pamiętać, że każda sytuacja jest indywidualna.
Kolejnym istotnym czynnikiem jest stosowana technologia i materiały. Nowoczesne kliniki inwestują w zaawansowany sprzęt diagnostyczny, taki jak tomografia komputerowa (CBCT), która pozwala na precyzyjne zaplanowanie zabiegu, a także w wysokiej jakości implanty renomowanych producentów. Dobrze jest zapytać o pochodzenie stosowanych implantów, ich gwarancję oraz o dostępne metody protetyczne, takie jak korony porcelanowe czy mosty.
Nie bez znaczenia jest również atmosfera panująca w klinice oraz komfort pacjenta. Wizyta u dentysty, a zwłaszcza zabieg chirurgiczny, może budzić pewien niepokój. Klinika, która dba o przyjazną atmosferę, oferuje wsparcie psychologiczne lub stosuje nowoczesne metody łagodzenia bólu i stresu, z pewnością zyska w oczach pacjentów. Ważne jest również, aby lekarz poświęcił wystarczająco dużo czasu na rozmowę z pacjentem, wyjaśnienie wszystkich etapów leczenia, potencjalnych ryzyk i korzyści, a także odpowiedział na wszelkie pytania.
Proces wszczepienia implantów zębów krok po kroku w Warszawie

Pierwszym i fundamentalnym etapem jest szczegółowa diagnostyka. Obejmuje ona zazwyczaj konsultację z lekarzem implantologiem, podczas której zbierany jest wywiad medyczny i stomatologiczny. Następnie przeprowadzane jest badanie jamy ustnej, ocena stanu dziąseł i kości. Kluczowe znaczenie ma wykonanie zdjęć rentgenowskich, w tym często tomografii komputerowej 3D (CBCT). Pozwala ona na dokładną ocenę gęstości i objętości kości w miejscu planowanego wszczepienia implantu, identyfikację struktur anatomicznych (np. nerwów, zatok szczękowych) i precyzyjne zaplanowanie pozycji implantu.
Kolejnym etapem jest planowanie leczenia. Na podstawie zebranych danych lekarz tworzy indywidualny plan, uwzględniający rodzaj implantu, jego umiejscowienie, a także rodzaj odbudowy protetycznej (korona, most). Pacjent jest informowany o całym procesie, kosztach i możliwych terminach. Jest to również doskonała okazja do zadania wszelkich pytań.
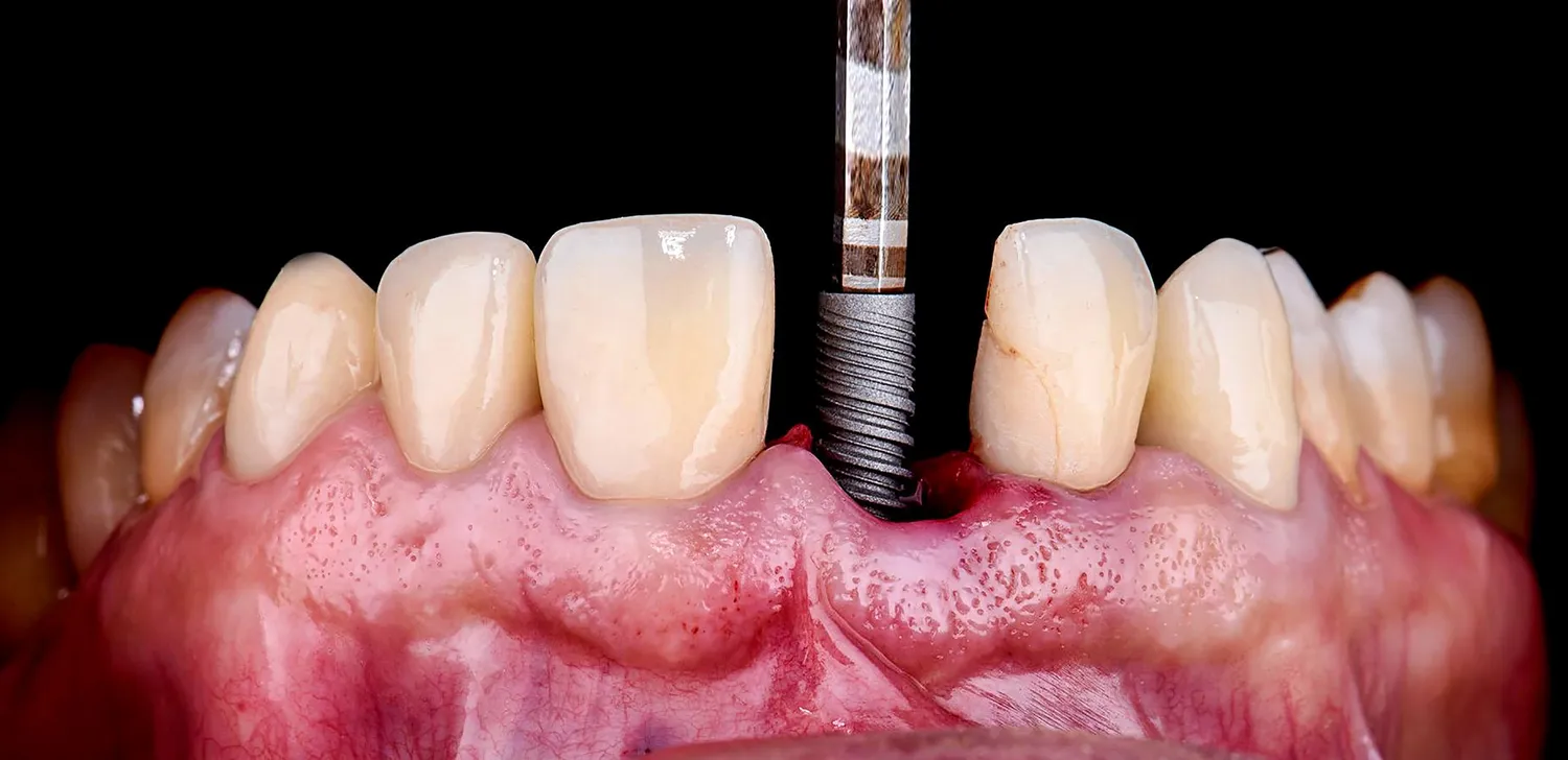
Następnie przystępuje się do zabiegu chirurgicznego wszczepienia implantu. Podaje się znieczulenie miejscowe, zapewniając komfort pacjentowi. Chirurg wykonuje niewielkie nacięcie w dziąśle, odsłaniając kość, a następnie precyzyjnie nawierca otwór, w który wkręcany jest tytanowy implant. Po umieszczeniu implantu, dziąsło jest zaszywane. Cały zabieg trwa zazwyczaj od 30 minut do godziny, w zależności od złożoności przypadku.
Po zabiegu następuje okres gojenia, zwany osteointegracją. W tym czasie kość szczęki stopniowo zrasta się z powierzchnią implantu, tworząc stabilne i trwałe połączenie. Okres ten trwa zazwyczaj od 3 do 6 miesięcy. W tym czasie pacjent może nosić tymczasową protezę, która pozwala zachować estetykę i funkcjonalność.
Po zakończeniu osteointegracji, implant jest gotowy do dalszych prac protetycznych. Wykonuje się zdjęcie RTG, aby potwierdzić stabilność implantu. Następnie pobierane są wyciski protetyczne, na podstawie których w laboratorium tworzona jest docelowa korona lub most protetyczny. Ostatnim etapem jest przykręcenie lub cementowe zamocowanie gotowej pracy protetycznej na implancie. Po tym zabiegu pacjent może cieszyć się pełnym uzębieniem.
Koszty związane z implantami zębów w Warszawie
Kwestia kosztów implantów zębów w Warszawie jest jednym z najczęściej poruszanych tematów przez pacjentów. Ceny mogą się znacząco różnić w zależności od wielu czynników, dlatego ważne jest, aby mieć świadomość składowych całkowitego kosztu leczenia. Zrozumienie tych elementów pozwala na lepsze zaplanowanie budżetu i uniknięcie nieporozumień.
Podstawowym elementem wpływającym na cenę jest sam implant. Na rynku dostępne są implanty różnych producentów, zróżnicowane pod względem materiałów, technologii wykonania i renomy marki. Implanty renomowanych światowych firm, posiadające wieloletnie badania i certyfikaty, zazwyczaj wiążą się z wyższymi kosztami, ale jednocześnie oferują większą pewność co do trwałości i biokompatybilności.
Kolejnym ważnym czynnikiem jest zakres procedury. Cena często obejmuje nie tylko sam implant, ale również jego chirurgiczne wszczepienie, co wiąże się z pracą chirurga, materiałami stomatologicznymi, znieczuleniem i sterylnymi narzędziami. Do tego dochodzi koszt odbudowy protetycznej, czyli wykonania korony lub mostu na implancie. Materiał, z którego wykonana jest korona (np. ceramika, cyrkon), a także jej złożoność (np. pojedyncza korona, most na kilku implantach) mają bezpośredni wpływ na ostateczną cenę.
Nie można zapominać o kosztach diagnostyki. Wiele klinik wymaga wykonania zdjęć RTG, w tym często tomografii komputerowej 3D (CBCT), która jest niezbędna do precyzyjnego zaplanowania leczenia. Koszt takiej diagnostyki jest zazwyczaj wliczany w całościowy koszt leczenia lub naliczany oddzielnie.
Dodatkowe procedury, takie jak augmentacja kości (sterowana regeneracja tkanki kostnej) w przypadku jej niedoboru, podniesienie dna zatoki szczękowej (sinus lift) czy zabiegi periodontologiczne przygotowujące jamę ustną do implantacji, również generują dodatkowe koszty. Mogą być one znaczące, zwłaszcza w skomplikowanych przypadkach.
Warto również zwrócić uwagę na politykę cenową poszczególnych klinik. Ceny mogą się różnić w zależności od renomy gabinetu, lokalizacji, doświadczenia zespołu medycznego oraz stosowanych technologii. Niektóre kliniki oferują pakiety leczenia, które mogą być korzystniejsze cenowo. Zawsze warto poprosić o szczegółowy kosztorys, uwzględniający wszystkie planowane etapy leczenia, przed podjęciem ostatecznej decyzji.
Alternatywne metody odbudowy brakujących zębów poza implantami
Implanty zębów w Warszawie to obecnie jedna z najskuteczniejszych i najbardziej zaawansowanych metod odtworzenia utraconego uzębienia. Jednakże, świadomość istnienia alternatywnych rozwiązań pozwala pacjentom na podjęcie w pełni świadomej decyzji, dopasowanej do ich indywidualnych potrzeb, stanu zdrowia i możliwości finansowych. Każda z metod ma swoje zalety i wady, a wybór zależy od specyfiki przypadku.
Jedną z tradycyjnych metod są protezy ruchome. Mogą być one częściowe, uzupełniając kilka brakujących zębów, lub całkowite, zastępując całe łuki zębowe. Protezy te są zazwyczaj wykonane z akrylu i metalu, a ich stabilność zapewnia przyleganie do błony śluzowej i ewentualne klamry zaczepione o zęby własne pacjenta. Główną zaletą protez ruchomych jest ich relatywnie niższy koszt w porównaniu do implantów oraz możliwość ich szybkiego wykonania. Wadą może być mniejszy komfort użytkowania, ograniczona stabilność, a także konieczność wyjmowania ich do czyszczenia. Mogą również prowadzić do podrażnień błony śluzowej i przyspieszać zanik kości pod protezą.
Bardziej stabilną opcją, choć mniej inwazyjną niż implanty, są protezy stałe, czyli mosty protetyczne. Most składa się z koron protetycznych połączonych ze sobą, które opierają się na naturalnych zębach pacjenta, oszlifowanych wcześniej w celu zmniejszenia ich objętości. Most protetyczny skutecznie przywraca funkcję żucia i estetykę. Jego zaletą jest trwałe zamocowanie i naturalny wygląd. Wymaga jednak preparacji (oszlifowania) zębów sąsiednich, które mogą być zdrowe, co jest jego główną wadą. Ponadto, higiena pod mostem może być utrudniona, co zwiększa ryzyko próchnicy i chorób dziąseł w tych miejscach.
W niektórych przypadkach, gdy brakuje jednego lub kilku zębów, a zęby sąsiednie są zdrowe i nie ma możliwości lub chęci wszczepienia implantów, można rozważyć wykonanie protezy szkieletowej. Jest to rodzaj protezy częściowej, która posiada metalowy szkielet zapewniający jej stabilność i wytrzymałość. Do szkieletu przymocowane są sztuczne zęby. Protezy szkieletowe są lżejsze i bardziej komfortowe od protez akrylowych, a ich mocowanie jest zazwyczaj bardziej estetyczne, dzięki zastosowaniu precyzyjnych elementów retencyjnych. Jednakże, jak każda proteza ruchoma, wymaga okresowego wyjmowania i czyszczenia.
Wybór odpowiedniej metody powinien być zawsze poprzedzony konsultacją ze stomatologiem, który oceni stan zdrowia jamy ustnej pacjenta, uwzględni jego oczekiwania i możliwości, a następnie przedstawi optymalne rozwiązania, porównując ich efektywność, trwałość i koszty.
Zalety i wady zastosowania implantów zębów w nowoczesnej stomatologii
Współczesna stomatologia oferuje implanty zębów jako jedno z najbardziej zaawansowanych i długoterminowych rozwiązań problemu braku uzębienia. Decyzja o wszczepieniu implantu wiąże się z szeregiem korzyści, ale jak każda procedura medyczna, posiada również potencjalne ograniczenia. Zrozumienie zarówno plusów, jak i minusów jest kluczowe dla pacjenta, aby mógł podjąć świadomą decyzję.
Niewątpliwą zaletą implantów zębowych jest ich trwałość i stabilność. Implanty, wykonane zazwyczaj z biokompatybilnego tytanu, integrują się z kością szczęki, tworząc solidne podparcie dla odbudowy protetycznej. Pozwala to na przywrócenie pełnej funkcji żucia, porównywalnej z naturalnymi zębami. Pacjenci mogą swobodnie jeść swoje ulubione potrawy, bez obawy o przesuwanie się protezy czy dyskomfort.
Kolejną ważną korzyścią jest estetyka. Implanty wraz z odbudową protetyczną wyglądają i czują się jak naturalne zęby, co znacząco poprawia wygląd uśmiechu i ogólny wygląd twarzy. W przeciwieństwie do tradycyjnych mostów protetycznych, wszczepienie implantu nie wymaga szlifowania sąsiednich, zdrowych zębów, co pozwala zachować ich integralność.
Implanty zębowe zapobiegają również zanikowi kości szczęki. Po utracie zęba kość w tym miejscu stopniowo zanika, ponieważ nie jest już stymulowana przez korzeń zęba. Implant, dzięki swojej funkcji imitującej korzeń, stymuluje kość, zapobiegając jej resorpcji. Jest to niezwykle ważne dla zachowania rysów twarzy i zdrowia całej jamy ustnej.
Warto również podkreślić, że implanty są rozwiązaniem długoterminowym. Przy odpowiedniej higienie jamy ustnej i regularnych kontrolach stomatologicznych, implanty mogą służyć pacjentowi przez całe życie. Są one również łatwe w utrzymaniu, wymagając jedynie standardowej higieny, takiej jak szczotkowanie i nitkowanie.
Jednakże, implanty zębów mają również pewne wady. Główną z nich jest koszt. Zabieg implantacji jest zazwyczaj droższy niż inne metody odbudowy uzębienia, takie jak protezy ruchome czy mosty. Wymaga on również więcej czasu, obejmując etap chirurgiczny, okres gojenia i finalną odbudowę protetyczną.
Nie każdy pacjent jest kandydatem do implantacji. Przeciwwskazania mogą obejmować poważne choroby ogólne (np. niekontrolowana cukrzyca, choroby autoimmunologiczne), choroby przyzębia w fazie aktywnej, palenie tytoniu czy niewystarczającą ilość kości szczęki. W niektórych przypadkach konieczne jest przeprowadzenie dodatkowych zabiegów, takich jak augmentacja kości, co zwiększa złożoność i koszt leczenia.
Istnieje również niewielkie ryzyko powikłań, takich jak infekcja, odrzucenie implantu przez organizm czy uszkodzenie struktur sąsiadujących. Jednakże, przy odpowiednim planowaniu i wykonaniu zabiegu przez doświadczonego specjalistę, ryzyko to jest minimalne.
Przygotowanie pacjenta do zabiegu wszczepienia implantów zębów
Skuteczność i bezpieczeństwo zabiegu wszczepienia implantów zębów w Warszawie w dużej mierze zależy od odpowiedniego przygotowania pacjenta. Proces ten obejmuje nie tylko aspekty medyczne, ale również psychologiczne, mające na celu zapewnienie komfortu i maksymalizację szans na sukces terapeutyczny.
Pierwszym i kluczowym krokiem jest przeprowadzenie szczegółowej konsultacji z lekarzem implantologiem. Podczas wizyty lekarz zbierze wywiad dotyczący ogólnego stanu zdrowia pacjenta, przyjmowanych leków, przebytych chorób oraz ewentualnych alergii. Szczególną uwagę poświęca się higienie jamy ustnej, stanowi dziąseł i obecności ewentualnych ognisk zapalnych, które mogą stanowić przeciwwskazanie do zabiegu lub wymagać wcześniejszego leczenia. Pacjent powinien otwarcie informować o wszelkich swoich obawach i oczekiwaniach.
Następnie przeprowadzana jest kompleksowa diagnostyka. Obejmuje ona zazwyczaj wykonanie zdjęć rentgenowskich, w tym tomografii komputerowej 3D (CBCT). Badanie to pozwala na dokładną ocenę ilości i jakości kości w miejscu planowanego wszczepienia implantu, identyfikację ważnych struktur anatomicznych, takich jak nerwy czy zatoki szczękowe, co jest niezbędne do precyzyjnego zaplanowania zabiegu.
Na podstawie zebranych danych lekarz przedstawia pacjentowi indywidualny plan leczenia, uwzględniający rodzaj implantu, jego umiejscowienie, a także rodzaj planowanej odbudowy protetycznej. Pacjent jest szczegółowo informowany o przebiegu zabiegu, potencjalnych ryzykach, czasie rekonwalescencji oraz o przewidywanych kosztach. Jest to również moment na zadawanie wszelkich pytań i rozwianie wątpliwości.
Przed samym zabiegiem chirurgicznym pacjent może zostać poproszony o wykonanie kilku dodatkowych czynności higienicznych, takich jak profesjonalne czyszczenie zębów lub stosowanie specjalnych płynów do płukania jamy ustnej. W przypadku osób palących, zaleca się zaprzestanie palenia na kilka tygodni przed zabiegiem, ponieważ nikotyna negatywnie wpływa na proces gojenia i osteointegracji implantu.
W dniu zabiegu pacjent powinien być wypoczęty i na czczo, jeśli zabieg ma być przeprowadzany w znieczuleniu ogólnym lub sedacji. Po zabiegu zaleca się stosowanie diety płynnej lub półpłynnej, unikanie gorących napojów i potraw, a także dbanie o szczególną higienę jamy ustnej w okolicy wszczepionego implantu, zgodnie z zaleceniami lekarza. Stosowanie zaleconych leków przeciwbólowych i antybiotyków jest również kluczowe dla prawidłowego przebiegu rekonwalescencji.




